Photo Gallery
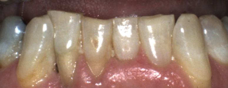
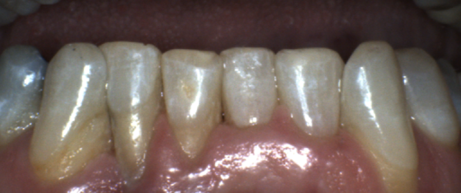
Thorough Dental Cleaning

Before

After
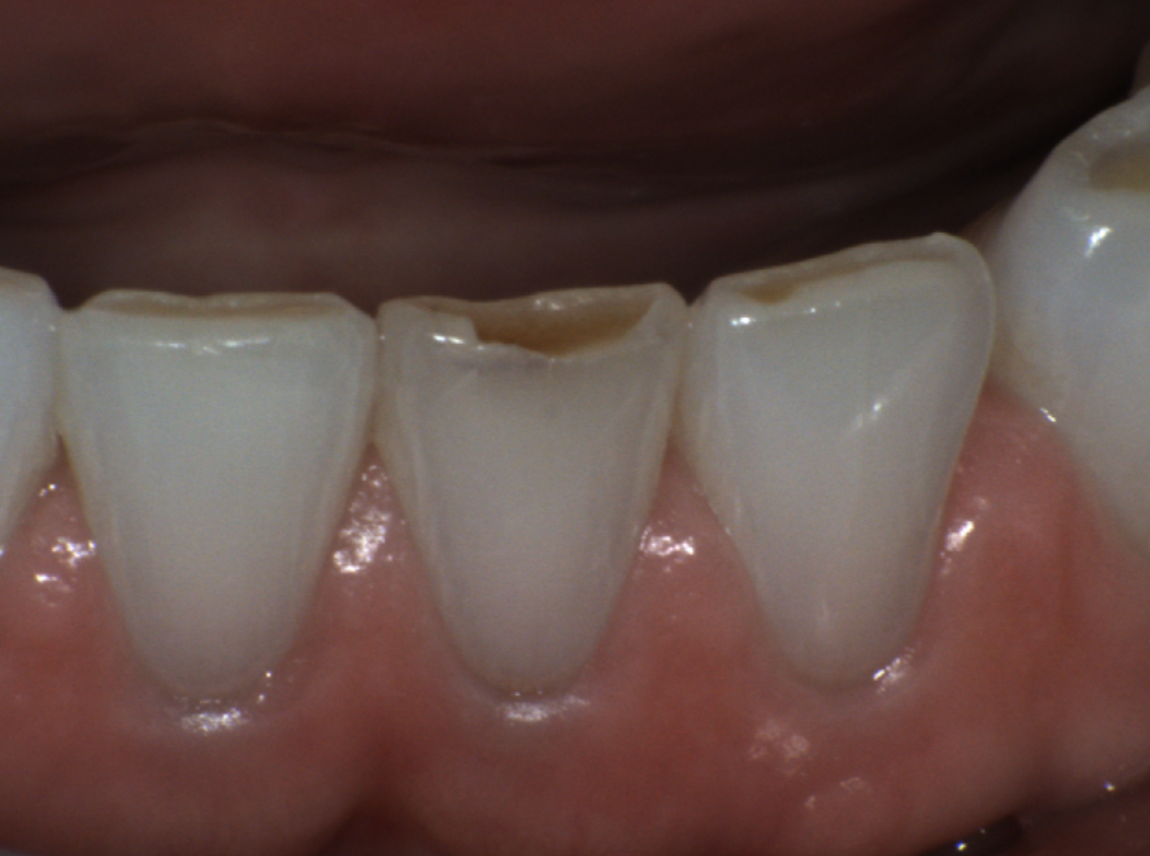
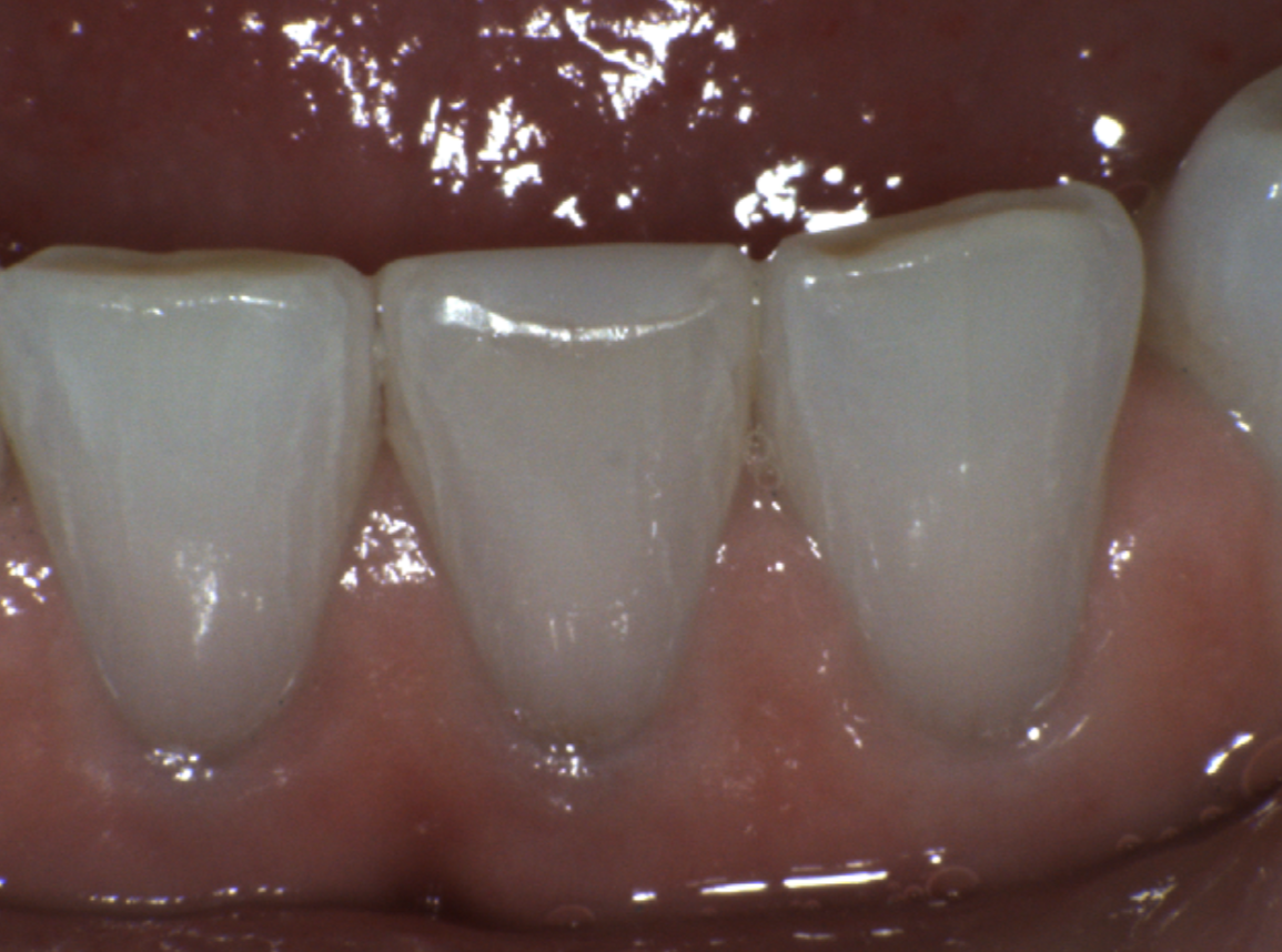
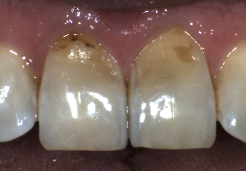
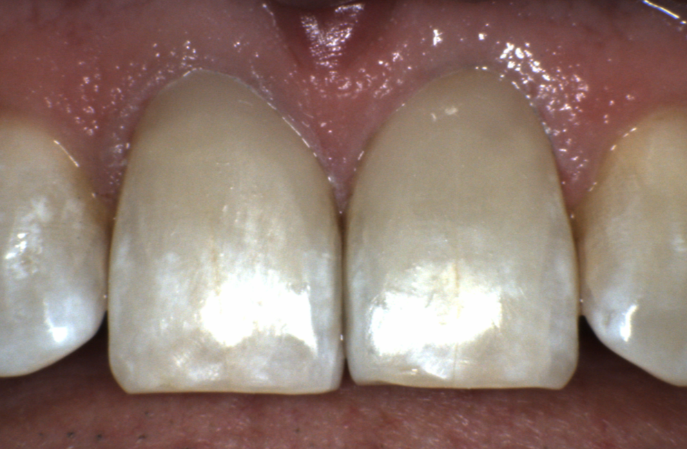
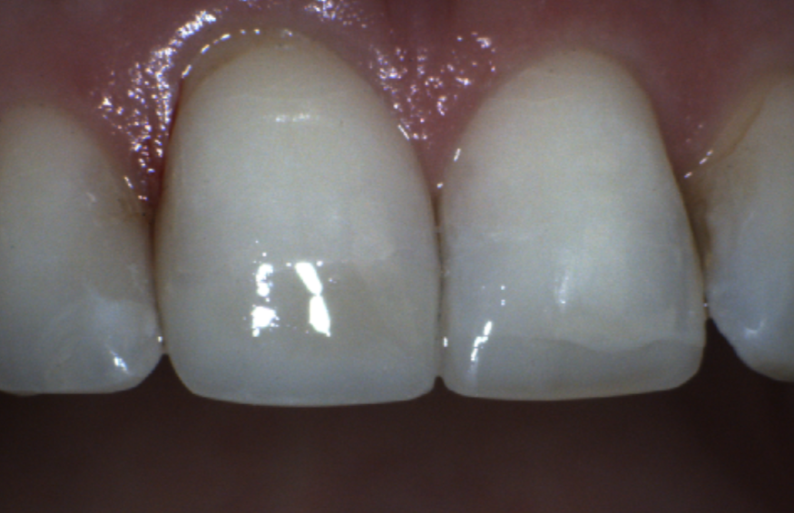
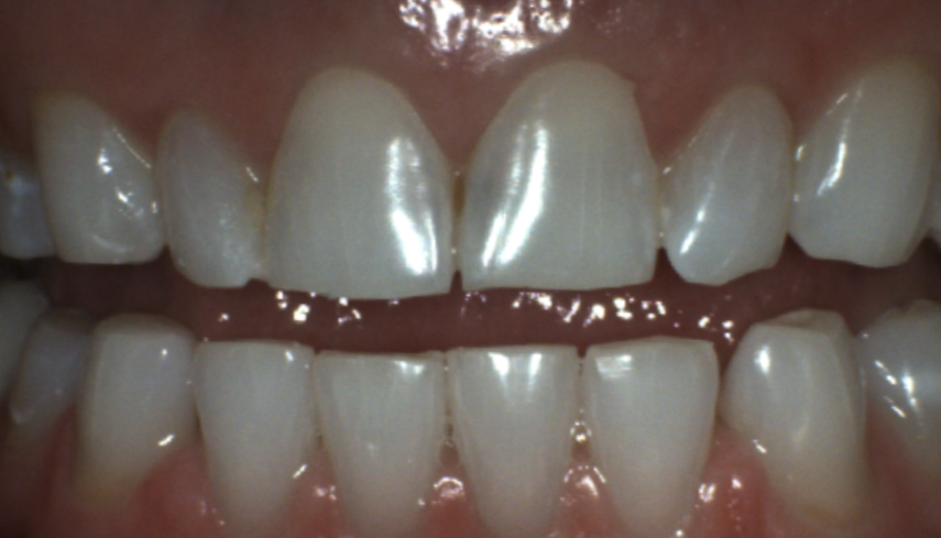
Tooth Colored Fillings

Before

After

Before

After
New Crown to Strengthen Cracked Tooth

Before (old silver filling)

Before (showing surface cracks in tooth)

During (deep crack under old filling)

After (final porcelain crown)
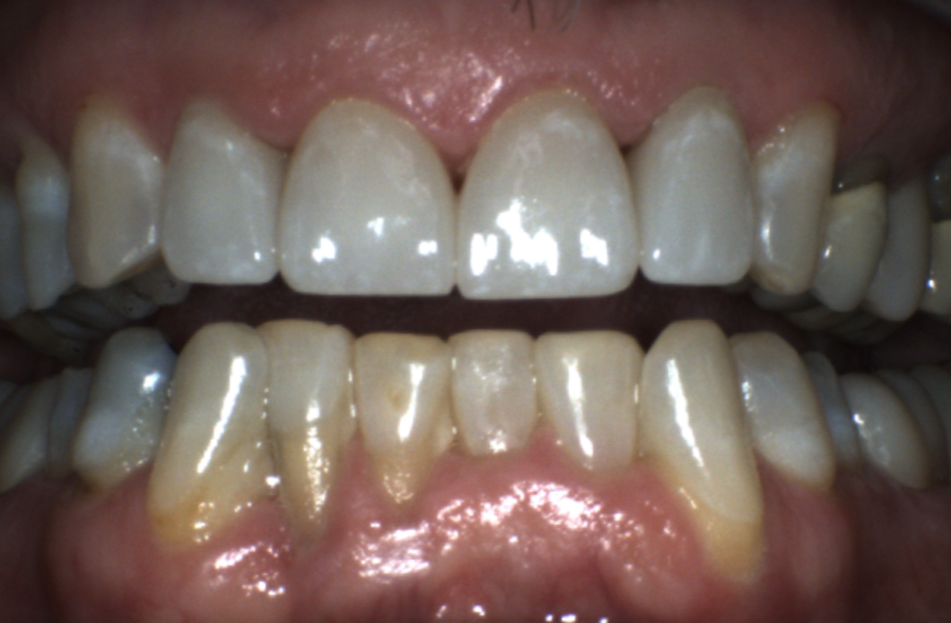
Zirconia crown to replace old style crown

After (final porcelain crown)

After (final porcelain crown)

After (final porcelain crown)

After (final porcelain crown)
Cosmetic Tooth Reshaping

Before

After
Bonding

Before

After

Before

After

Before

After
Zoom Whitening

Before

After

Before

After
Porcelain Veneers for Spacing

Before

After

Before

After

Before

After
Porcelain Veneers for Crowding

Before

After

Before

After

Before

After
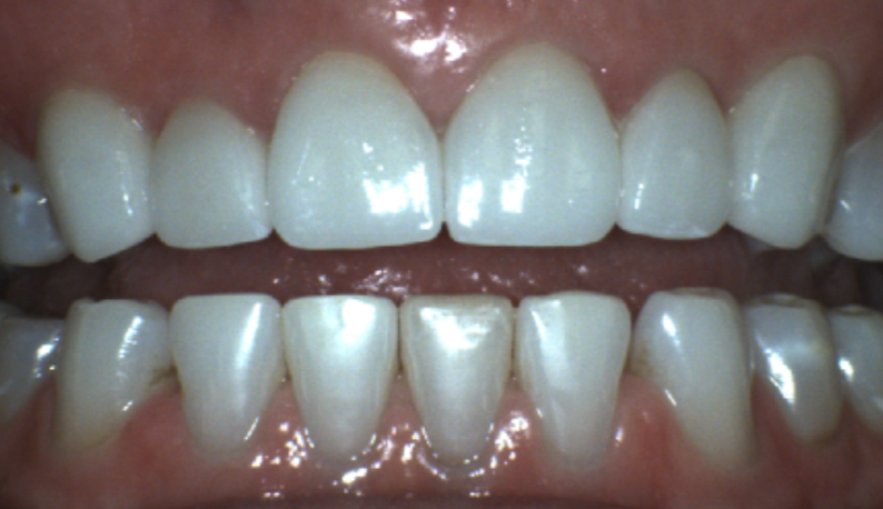
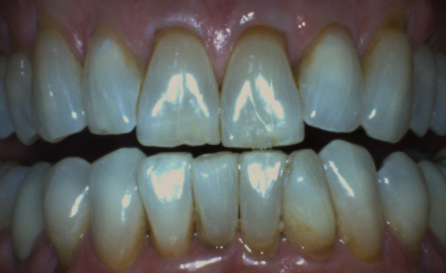
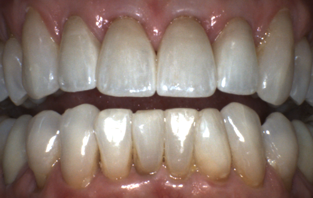
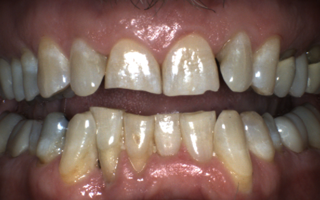
Porcelain Veneers for Wear & Chipping

Before

After
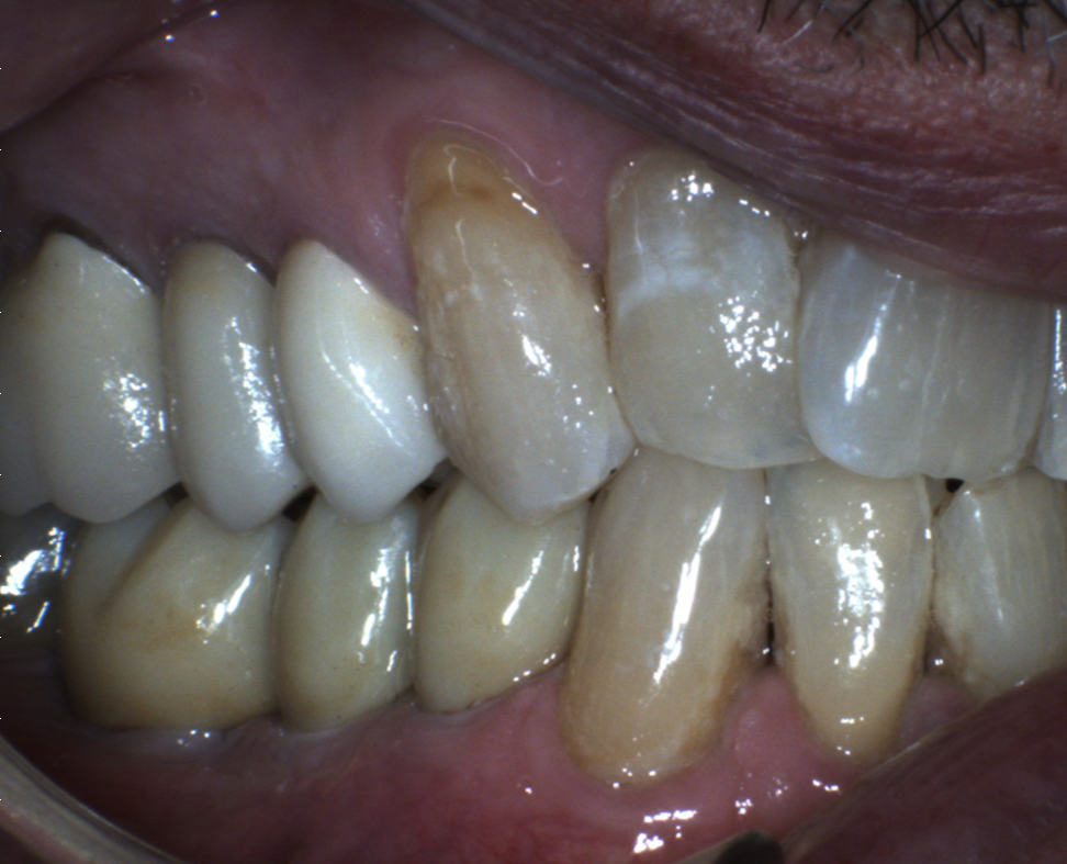
Implant Crowns

Before

After

Before

After

Before

After
Implant Supported Bridge

Before

After
Air Abrasion: Micro Sand Blaster

Before

During

After
Night Guard

Upper Guard In

Lower Guard In

Upper Guard Out

Lower Guard Out
